Patologías Oncológicas
Tratamiento especializado para cánceres hematológicos con las terapias más avanzadas disponibles, incluyendo inmunoterapia y terapia dirigida.
Tipos de Cáncer Hematológico
Nuestro equipo de subespecialistas en hemato-oncología está preparado para tratar todos los tipos de cáncer de la sangre con protocolos internacionales.

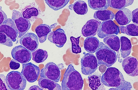
Leucemia mieloide aguda (LMA)
Cáncer de la sangre y médula ósea con producción descontrolada de células inmaduras mieloides
Leucemia aguda
Leucemia linfoblástica aguda (LLA)
Cáncer que afecta las células linfoides inmaduras en la médula ósea
Leucemia aguda
Leucemia mieloide crónica (LMC)
Cáncer de evolución lenta que afecta las células mieloides
Leucemia crónica
Leucemia linfocítica crónica (LLC)
Cáncer de los linfocitos que progresa lentamente
Leucemia crónica
Síndromes mielodisplásicos (SMD)
Trastornos donde la médula ósea no produce células sanguíneas sanas
Síndrome mielodisplásico
Linfoma de Hodgkin
Cáncer del sistema linfático caracterizado por células de Reed-Sternberg
Linfoma
Linfoma no Hodgkin
Grupo de cánceres del sistema linfático sin células de Reed-Sternberg
Linfoma
Mieloma múltiple
Cáncer de las células plasmáticas en la médula ósea
Neoplasia de células plasmáticas
Macroglobulinemia de Waldenström
Cáncer raro de los linfocitos B que produce exceso de proteínas
Neoplasia linfoide
Neoplasias de células plasmáticas raras
Grupo de cánceres poco frecuentes que afectan las células plasmáticas
Neoplasia de células plasmáticas
Amiloidosis
Enfermedad causada por la acumulación de proteínas anormales en los órganos
Trastorno de depósito
Mastocitosis sistémica
Enfermedad caracterizada por la proliferación anormal de mastocitos en el organismo
Trastorno de mastocitosDiagnóstico y Tratamiento Especializado
Si usted o un ser querido ha sido diagnosticado con alguna de estas patologías oncológicas, nuestro equipo de hemato-oncólogos está aquí para brindar la mejor atención especializada.
